|
种属 |
狗 |
|
别称 |
A 72; A72 |
|
组织来源 |
左大腿 |
|
疾病 |
肿瘤 |
|
传代比例/细胞消化 |
1:2传代,消化2-3分钟。 |
|
完全培养基配置 |
Leibovitz's L-15培养基;10%胎牛血清;1%双抗 |
|
简介 |
该品系是从一只雌性金毛猎犬左大腿上取下的直径1厘米的肿瘤建立的。 |
|
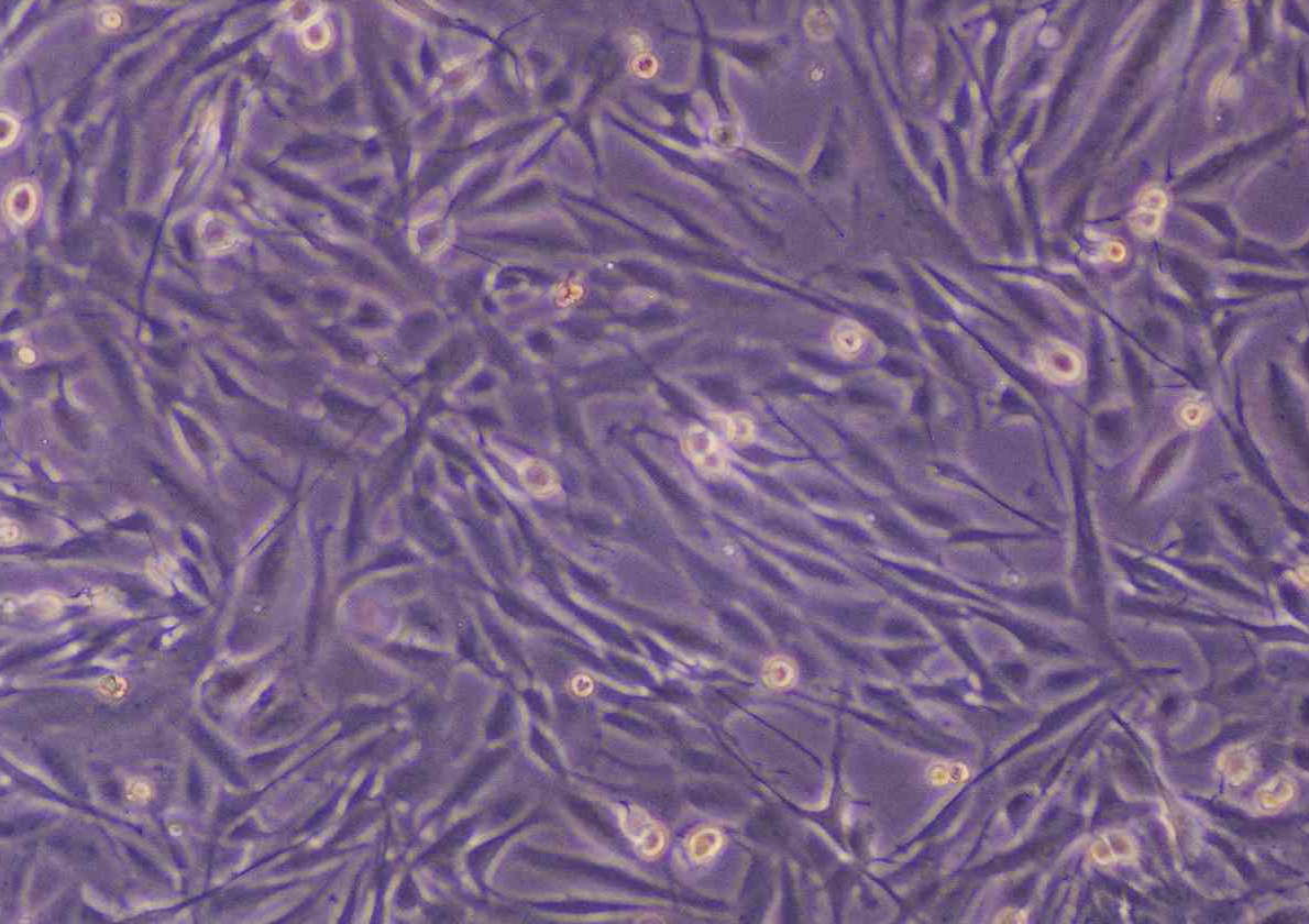
形态 |
成纤维细胞样 |
|
生长特征 |
贴壁生长 |
|
倍增时间 |
每周 2-3次 |
|
培养条件 |
气相:空气,100%; 温度:37摄氏度,培养箱湿度为70%-80%,培养箱湿度为70%-80%。 |
|
冻存条件 |
冻存液:90%FBS,DMSO 10%, 或使用非程序冻存液:官网货号JY-H040 |
|
保藏机构 |
CLS; 400156 |
|
产品使用 |
仅限于科学研究,不可作为动物或人类疾病的治疗产品使用。 |
