|
种属 |
小鼠 |
|
组织来源 |
胰腺 |
|
疾病 |
小鼠胰腺肿瘤 |
|
传代比例 |
1:2传代,消化2-3分钟。 |
|
完全培养基配置 |
DMEM培养基;10%胎牛血清;1%双抗 |
|
简介 |
KPC小鼠同时携带K-Ras G12D和LSL-Trp53 R172H两种致病突变。首先将LSL-K-Ras G12D小鼠(条件性过表达K-Ras G12D突变基因小鼠)与LSL-Trp53 R172H小鼠(条件性过表达Trp53 R172H突变基因小鼠)杂交,产生基因组中携带但不表达两种致病突变基因的小鼠,即KP小鼠。然后将KP小鼠与Pdx-Cre小鼠(胰腺特异性Cre重组酶表达小鼠)杂交以产生KPC小鼠,该小鼠在Pdx启动子的调控下,通过Cre重组酶特异性删除胰腺组织中的Loxp-Stop-Loxp(LSL)基因沉默元件,使K-Ras G12D和Trp53 R172H突变基因选择性的在胰腺组织中表达。K-Ras G12D突变和Trp53 R172H突变使胰腺肿瘤发展更为迅速,同时转移潜力加大 。KPC新生小鼠胰腺正常,不存在肿瘤细胞,在8至10周龄时,胰腺内开始出现前体病变或胰腺上皮内瘤变(PanIN);大多数小鼠在16周龄时发展出局部侵入性胰腺导管腺癌(PDAC),并伴有密集的促纤维增生反应。肿瘤通常具有中等分化的导管形态,具有广泛的间质结缔组织增生,类似于在人类肿瘤中观察到的最常见形态。此外,在约80%的KPC小鼠中体内可以观察到肿瘤的转移,主要在肝脏和肺部组织中,这些部位也是人类胰腺癌常见的转移部位 。考虑到个体差异性和环境因素的影响,该模型的发病成瘤情况以实际为准。突变情况如下: KPC: KrasG12D/G: Trp53R270H |
|
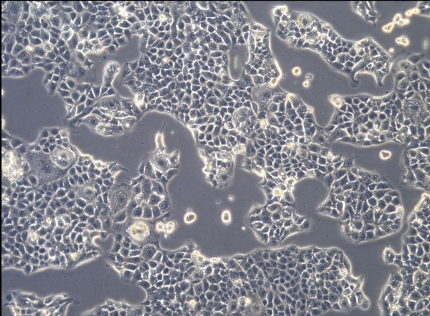
形态 |
上皮细胞样 |
|
生长特征 |
贴壁生长 |
|
细胞检测 |
STR鉴定 |
|
倍增时间 |
每周 2至3次 |
|
换液频率 |
2-3天换液一次 |
|
培养条件 |
气相:空气,95%;二氧化碳,5%。 温度:37摄氏度,培养箱湿度为70%-80%。 |
|
冻存条件 |
冻存液:90%FBS,DMSO 10%, 或使用非程序冻存液:官网货号JY-H040 |
|
产品使用 |
仅限于科学研究,不可作为动物或人类疾病的治疗产品使用。 |

