|
种属 |
人 |
|
别称 |
Hela+luc |
|
组织来源 |
子宫;宫颈 |
|
疾病 |
宫颈腺癌 |
|
传代比例/细胞消化 |
1:2传代 ,消化2-3分钟 |
|
完全培养基配置 |
RPMI1640培养基;10%胎牛血清;1%双抗 |
|
简介 |
HeLa是第一个来自人体组织经连续培养获得的非整倍体上皮样细胞系 ,它由GeyGO等在1951年从31岁女性黑人的宫 颈癌组织建立。经原始组织切片重新观察 ,Jones等将其诊断为腺癌。已知该细胞系含有人乳头状瘤病毒HPV18序 列 ,需在2级生物安全防护台操作。该细胞角蛋白阳性 ,p53表达量较低 ,但表达正常水平的pRB(视网膜母细胞瘤抑 制因子)。 |
|
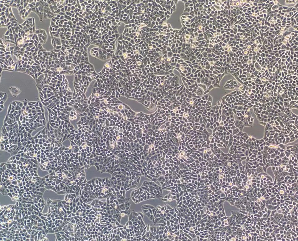
形态 |
上皮细胞样 |
|
生长特征 |
贴壁生长 |
|
倍增时间 |
~32-48h |
|
基因表达 |
Lysophosphatidylcholine (lyso-PC) induces AP-1 activity and c-jun N-terminal kinase activity (JNK1) by a protein kinase C-independent pathway. The cells are positive for keratin by immunoperoxidase staining. |
|
STR |
Amelogenin:X;CSF1PO:9 ,10;D13S317:12 ,13.3;D16S539:9 ,10;D18S51 :16;D19S433: 13 ,14;D21S11:27 ,28;D2S1338:17;D3S1358:15 ,18;D5S818:11 ,12;D7S820:8 ,12; D8S1179:12 ,13;FGA:18 ,21;TH01:7;TPOX:8 ,12;vWA:16 ,18; |
|
培养条件 |
气相:空气 ,95% ;二氧化碳 ,5%。 温度:37摄氏度 ,培养箱湿度为70%-80%。 |
|
冻存条件 |
冻存液:90%FBS ,DMSO 10%, 或使用非程序冻存液:官网货号JY-H040 |
|
备注 |
该细胞是通过慢病毒转染荧光素酶的稳转株 ,收到细胞传代8代左右后 ,若要求需要维持荧光强度 ,建议可以加入嘌呤 霉素进行再次筛选。 |
|
产品使用 |
仅限于科学研究 ,不可作为动物或人类疾病的治疗产品使用。 |


