|
种属 |
人 |
|
别称 |
F56 |
|
疾病 |
腺癌 |
|
传代比例/细胞消化 |
1:2传代,消化2-3分钟 |
|
完全培养基配置 |
DMEM培养基;10%胎牛血清;1%双抗 |
|
简介 |
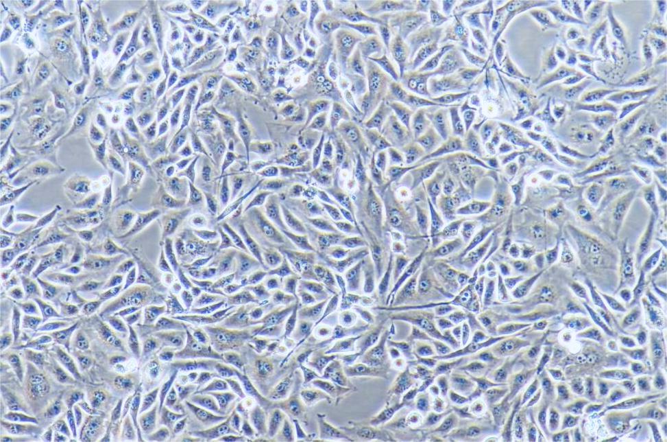
F56是一株人的腺癌细胞系,可用于腺癌发生机制的研究,也可用于抗癌药物的筛选。 |
|
形态 |
上皮细胞样 |
|
生长特征 |
贴壁生长 |
|
倍增时间 |
每周 2 至 3 次 |
|
培养条件 |
气相:空气,95%;二氧化碳,5%。 温度:37摄氏度,培养箱湿度为70%-80%。 |
|
冻存条件 |
冻存液:90%FBS,DMSO 10%, 或使用非程序冻存液:官网货号JY-H040 |
|
产品使用 |
仅限于科学研究,不可作为动物或人类疾病的治疗产品使用。 |
