|
种属 |
人 |
|
别称 |
PL-45; PL 45 |
|
组织来源 |
胰腺 |
|
疾病 |
胰腺导管腺癌 |
|
传代比例/细胞消化 |
1:2传代 ,消化1-2分钟 |
|
完全培养基配置 |
DMEM培养基 ;10%胎牛血清 ; 1%双抗 |
|
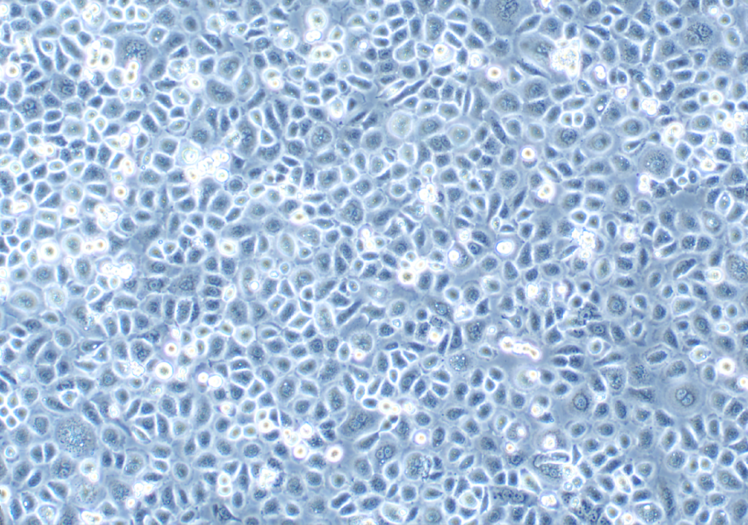
简介 |
PL45是1992年从一名患有未分化胰腺腺癌的男子的胰腺原发肿瘤中分离出的一种胰腺腺癌上皮细胞系。 |
|
形态 |
上皮细胞样 |
|
生长特征 |
贴壁生长 |
|
倍增时间 |
每周 2 至 3 次 |
|
|
Amelogenin X CSF1PO 12 D3S1358 14 D5S818 13 D7S820 8,9 D8S1179 13,14 D13S317 12 D16S539 9,12 D18S51 15 D21S11 30 FGA 20 Penta D 12 Penta E 11,13 TH01 6,9.3 TPOX 11 vWA 16 |
|
培养条件 |
气相 :空气 ,95% ;二氧化碳 ,5%。 温度 :37摄氏度 ,培养箱湿度为70%-80%。 |
|
冻存条件 |
冻存液 :90%FBS ,DMSO 10%, 或使用非程序冻存液 :官网货号JY-H040 |
|
保藏机构 |
ATCC;CRL-2558 |
|
产品使用 |
仅限于科学研究 ,不可作为动物或人类疾病的治疗产品使用。 |
